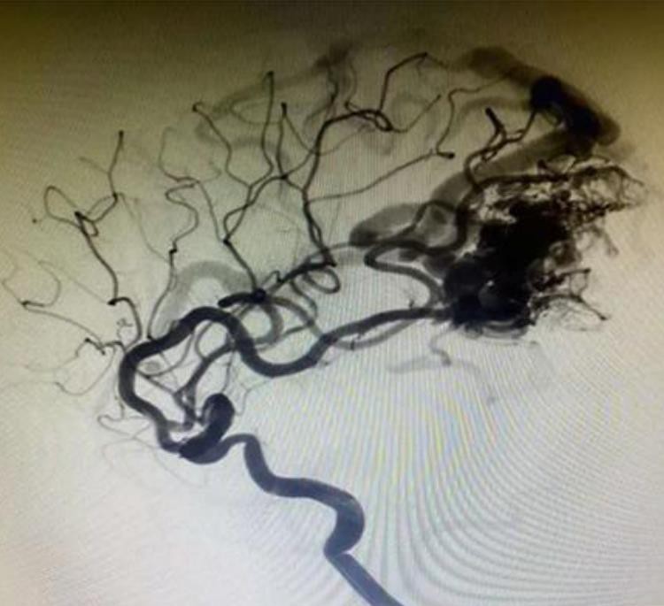
Lav -12 Intracranial anevrism likid sistèm embolic
Lè lavTmSistèm Embolic Intracranial anevrism likid ap kontakte ak san an oswa nenpòt ki solisyon akeuz, sifas li yo pral imedyatman solidifye epi fòme yon fim pwoteksyon. DMSO nan ajan an embolic dilye ak difize nan san an, se konsa ke poud tantal vlope pa Evoh se presipite ak solidifye soti nan deyò a anndan an. An menm tan an, lav difize byen lwen anba presyon an piki. Finalman, li fòme yon kò embolic eponj nan pozisyon an embolization.

LavTmSe sistèm embolization anevrism te fè nan ki pa adezif materyèl, kidonk li se pi plis san danje epi ki pa baton katetè a.
Li inik fòmil ba-viskozite ak yon seri konplè nan modèl lav -12, lav -18 ak lav -34.
Li gen pi bon dispèsyon ak pénétration. epi li ka pwofondman antre nan lezyonèl la, epi rive nan veso distal la.
Poud tantal la se plis sibtilite, pi dousman presipite ak pi klè radyografi konpare ak konpetitè.

Nòt pouEntrakranyen anevrism likid sistèm embolic
● Obsève si wi ou non ajan an likid lav likid solidifye, si se konsa, li bezwen yo dwe deglase premyèman.
● Mete lav likid ajan embolic sou vibrer la.
● Ajiste vibrer la nan nivo a wo.
● Pa mwens pase 20 minit pou souke
● Jiskaske li itilize.
|
Kòd pwodwi |
Viskozite |
Deskripsyon |
|
Lav -12 |
12 CST |
Pi ba viskozite, plis likid, pou microvessles distal; |
|
Lav -18 |
18 CST |
Fòmil estanda, itilizasyon jeneral; |
|
Lav -34 |
34 CST |
Pi wo viskozite, pou veso koule segondè. |











